省中医院耳鼻喉科成功完成鼻内窥镜下鼻内翻性乳头状瘤手术一例
近日,甘肃省中医院耳鼻喉科成功为一名鼻内翻性乳头状瘤患者施行鼻内窥镜下鼻腔鼻窦肿瘤切除术,手术效果满意。
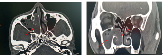
患者李某,男性,42岁,于4月前无明显诱因出现右侧鼻塞,流清涕、打喷嚏,伴咽干咽痛、口干口苦。入院前2天曾在当地医院检查发现右侧鼻腔肿物,建议手术治疗。患者随后在我院耳鼻喉科就诊,收治入院后查副鼻窦CT提示:右侧鼻道内软组织密度块影,病变累及鼻咽部、右侧上颌窦及右半筛窦。进一步完善副鼻窦核磁平扫+增强+DWI提示:右侧鼻腔内异常信号并向鼻咽腔及右侧上颌窦腔内延伸,结合强化,多考虑肿瘤性病变,内翻性乳头状瘤可能。术前病检回报示:(右侧鼻腔)内翻性乳头状瘤。诊断明确后,由科主任江燕主刀、在麻醉手术科主任医师谭萍的全力配合下,耳鼻喉科团队为患者成功施行全麻下“鼻内窥镜下右侧鼻腔鼻窦肿瘤切除+右侧上颌窦开放术”,术中完整切除患者右侧鼻腔鼻窦肿瘤,术后恢复良好。
近10年来,耳鼻喉科团队在科室主任的带领下,已经成功完成了鼻腔鼻窦内翻性乳头状瘤手术共20余例,鼻内窥镜下手术不仅能彻底切除肿瘤,其更精细化、更微创化的理念,大大降低了患者的复发率和恶变,为患者健康保驾护航。

术前副鼻窦CT提示右侧鼻腔、鼻咽部及上颌窦内肿物

术前副鼻窦增强MRI提示右侧鼻腔、鼻咽部及上颌窦内内翻性乳头状瘤可能

病检结果报告单 手术切除肿瘤标本

用户登录
还没有账号?
立即注册